Contact Us

Dental crowns serve as a practical solution when a tooth’s structure requires reinforcement, whether due to trauma or decay.

Commonly referred to as caps, these dental crowns are meticulously crafted to snugly fit atop the existing tooth, extending just above the gumline for optimal cleanliness.

One of their key advantages lies in their ability to blend seamlessly with the natural dentition.

Each crown is carefully designed to match the precise shade of the surrounding teeth, rendering them virtually undetectable.

Typically crafted from porcelain, a resilient material, dental crowns boast high resistance to staining and chipping. This ensures both durability and an aesthetically pleasing result, making dental crowns a reliable option for restoring both function and appearance to compromised teeth.

Back to General Dentistry Online Booking
down blue white circle arrow down white blue circle arrow

Contact

Get in touch

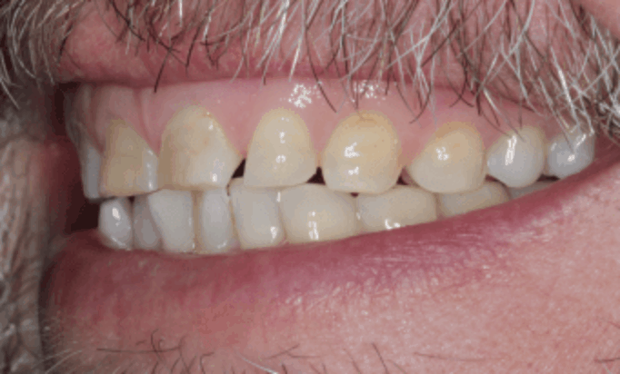
Before - Conway House Dental Before
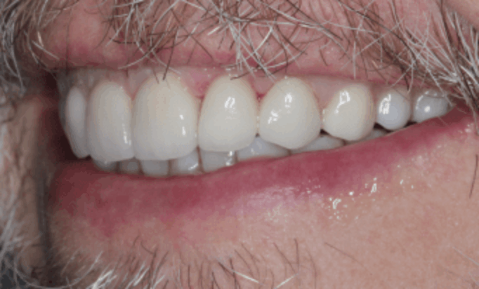
After -Conway House Dental After

Crowns

Before - Conway House Dental Before
After -Conway House Dental After

Crowns

Google Rating
5.0
Google Rating
Google-review