Botulinum toxin, popularly known as a cosmetic filler, is an exogenous neurotoxin that functions by altering neurological mechanisms. It is widely used for medical as well as cosmetic…
ExploreCan Veneers Work On Crooked Teeth? Dental veneers can work wonders when it comes to treating minor anomalies of teeth like stained teeth, discoloured teeth, broken teeth, chipped…
ExploreTooth decay is an inadvertent event that occurs commonly in people of all age groups. Your lifestyle, eating habits, hygiene routine, and everything have a significant impact on…
ExploreThe outermost coating of our teeth is made of enamel, the hardest substance in the human body. Despite this, a broken tooth is not an uncommon phenomenon. You may…
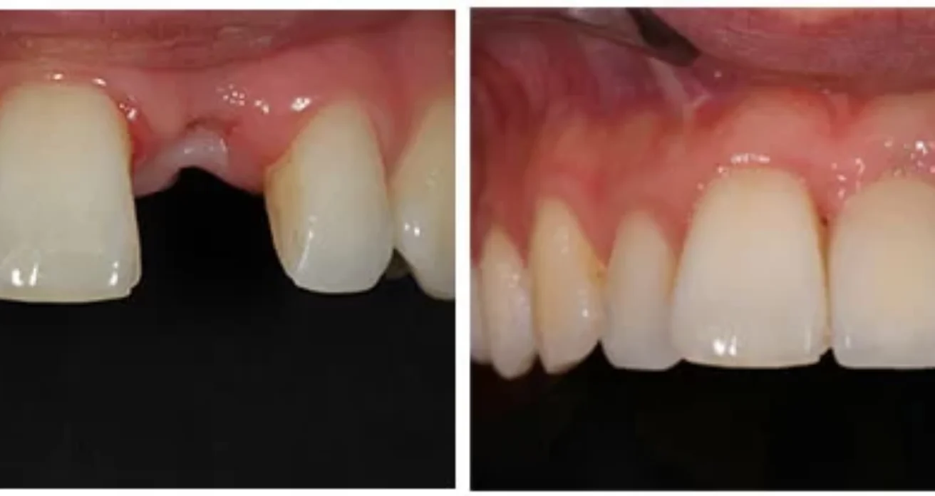
ExploreAre you struggling with gaps in your dentition created due to lost, broken, or extracted teeth? Well, there can be a plethora of genetic as well as acquired…
ExploreCrooked teeth or misaligned teeth can be seen commonly in children as well as in adults. There can be congenital and acquired causes of crooked teeth. Not only…
ExploreFollow us on Instagram for smile transformations, dental tips, and behind-the-scenes moments!
Instagram
Whether you’re looking to book or just have a question, our team is ready to help — get in touch before you leave the page.